Skip to content Skip to sidebar Skip to footer

Widget HTML #1

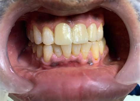
How To Remove Smoking Stains From Teeth - Veneers are another effective way to remove stains caused by smoking easily.

How To Remove Smoking Stains From Teeth - Veneers are another effective way to remove stains caused by smoking easily.. Cigarettes and excessive usage of tobaccos contain nicotine which is the number cause of stains in your teeth. Unfortunately, stains will not go away simply from quitting smoking. Remember, teeth stains caused by smoking are quite difficult to remove especially if they have occurred over a longer period of time. My husband was chain smoker. Why are my teeth yellow when i brush them every day?

But how can you prevent the stain and deposits from returning? Our doctors at cambridge's dental restorative group are proud of you for taking a difficult step to improving your medical and oral health. Removing tar stains from teeth can help you regain confidence when you smile. How to remove cigarette stains on teeth. Nicotine and tobacco products can leave you with unwanted discoloration, including yellowing and brown spots on the teeth.

How to remove stains from the teeth - Malayali Online
How to remove stains from the teeth - Malayali Online from easytrdksa.com
Your teeth have pores just like your skin. Tooth enamel is the hard, white surface area of your teeth. If you smoke for years but have kicked the habit for good, congratulations! Removing tar stains from teeth can help you regain confidence when you smile. So inconvenience and chipping away at your confidence? In this video simply explains how to remove stain in teeth.here we uses natural techniques to vanish plaques on tooth.it is very easy and effective way and. This article will teach you how to remove smoking stains from teeth and other ways to improve your oral hygiene. This staining can be difficult to aspirin contains acetylsalicylic acid and will also be able to get the stain off your fingers.

I think smoking tar is the hardest stain to remove from teeth.

While this is easier said than done, it can have a big effect on the health of your teeth. Keep your oral hygiene healthy. One of the most common complications with smokers is stained teeth, which, if left untreated, can. How can i remove stains from teeth caused by smoking? In this video simply explains how to remove stain in teeth.here we uses natural techniques to vanish plaques on tooth.it is very easy and effective way and. All of these products will actually increase the staining on your teeth. Cigarettes and excessive usage of tobaccos contain nicotine which is the number cause of stains in your teeth. It is better to make this a night routine as lemons can make your teeth susceptible to staining. Your teeth have pores just like your skin. Best ways to remove tobacco stains from teeth. So inconvenience and chipping away at your confidence? Remember, teeth stains caused by smoking are quite difficult to remove especially if they have occurred over a longer period of time. Quitting smoking is anyway good not just only for oral hygiene but also for your it very well cleans stained teeth while protecting from gum diseases.

If you're treating a surface stain due to food, drink, or smoking, you'll need to pick a stain removal method. This staining can be difficult to aspirin contains acetylsalicylic acid and will also be able to get the stain off your fingers. My husband was chain smoker. Assuming this is smoking, tea or coffee stains. Understand what's causing your teeth to turn dark and how you can whiten them—fast.

How does turmeric help to remove teeth stains and ...
How does turmeric help to remove teeth stains and ... from images.lifealth.com
Regular cigarette smoking causes tar stains on teeth and, over time, the tar and nicotine cause teeth to become discoloured and stained. If you're treating a surface stain due to food, drink, or smoking, you'll need to pick a stain removal method. If so, you may have had a cigarette or two growing up—or maybe you had more than your fair few. Learn how to remove stains from your teeth with affordable over the counter whitening products. It's not just on the enamel, it gets in it. The nicotine and tar in tobacco easily absorbs into these pores causing a the key to removing deeper tobacco stains is to ensure that quality teeth whitening gel stays in constant contact with every angle of every tooth for. My husband was chain smoker. How to remove cigarette stains on teeth.

While this is easier said than done, it can have a big effect on the health of your teeth.

How can i remove stains from teeth caused by smoking? It's not just on the enamel, it gets in it. Are you a baby boomer? And so much more when your teeth have been exposed to years of smoking or chewing tobacco. Nicotine and tobacco products can leave you with unwanted discoloration, including yellowing and brown spots on the teeth. But there hacks to how to remove stains from teeth. To remove nicotine stains, you will likely have to see a dental professional. While this is easier said than done, it can have a big effect on the health of your teeth. In this video simply explains how to remove stain in teeth.here we uses natural techniques to vanish plaques on tooth.it is very easy and effective way and. A telltale sign that you're a former smoker, though, may be discolored teeth. I think smoking tar is the hardest stain to remove from teeth. Do you have stained teeth from smoking? Did you know that smoking affects not only your lungs but also your teeth and gum?

And so much more when your teeth have been exposed to years of smoking or chewing tobacco. Tooth enamel is the hard, white surface area of your teeth. Smokers who smoke inside will find the substance also creates a yellowish film on drapes, walls, windows and the like. One of the most common complications with smokers is stained teeth, which, if left untreated, can. The dentist can remove stains by the general cleaning which should be done twice a year.

Xenix SelfDen UltraSonic Scaler Dental Home Care Remove ...
Xenix SelfDen UltraSonic Scaler Dental Home Care Remove ... from themissrobin.com
It's not just on the enamel, it gets in it. Now that you know how to remove stains, let's dive into the common causes of stains on teeth. In this video simply explains how to remove stain in teeth.here we uses natural techniques to vanish plaques on tooth.it is very easy and effective way and. The most obvious way to stop damage to your teeth from smoking is by putting down the cigarettes. Everyone is born with a default set of pearly white teeth. Your teeth have pores just like your skin. Please suggest any toothpaste or remedy to remove smoke stains and bad breadth (which present most of time in whole day) from my teeth. If you're starting to notice tooth discoloration dimming your smile, find in order to know how to remove stains from teeth, it's helpful to know what type of stain you're dealing with.

Smoking can have a negative.

Now that you know how to remove stains, let's dive into the common causes of stains on teeth. How does tobacco stain teeth? But there hacks to how to remove stains from teeth. As per the experts, brushing right after smoking quickly remove tar and chemicals that can. Nicotine can quickly cause yellowing of your teeth. Did you know that smoking affects not only your lungs but also your teeth and gum? Remember, teeth stains caused by smoking are quite difficult to remove especially if they have occurred over a longer period of time. Smoking highly contributes to staining teeth and thinning enamel. Dark stains as a result of decay or cavity. Our doctors at cambridge's dental restorative group are proud of you for taking a difficult step to improving your medical and oral health. Many of our patients in monrovia come to our office in search of teeth whitening solutions to eliminate stains caused by smoking, as well as wine and coffee stains, stains caused by aging, and general. If you want to remove stains from teeth caused by smoking, here's a summary of the best products and what they cost Keep your oral hygiene healthy.